材料の強度と破壊トップページ>複合材料のき裂成長

円孔切り欠きからのき裂成長

PC材
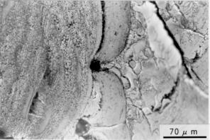
 切り欠き底に表面クレイズが発生し,その後,クレイズ先端からせん断帯が発生,粒状模様を伴いせん断帯がき裂化した後,モードT型き裂の成長となる疲労破壊過程をとる(Fig.1).
 不連続成長帯はSGFの近傍で停滞しており,SGFがき裂伝播速度を小さくし,抵抗となっていることがわかる.Fig.2,3は,SGF含有量1%の場合の不連続成長帯領域の写真.
 AS材の場合は,切り欠き底近傍に存在するSGF端に負荷方向と垂直に発生したクレイズからき裂が発生する.破面は,不連続成長領域,SGF端に負荷方向と垂直に発生したクレイズが連結してき裂が成長した領域,不安定破壊の領域に分けられる.PC材と比較すると不連続成長帯の間隔はかなり大きい.

 
Fig.1 切り欠き底近傍の破面写真, PC材,σa=15 MPa Fig.2 繊維近傍の不連続成長帯の様子, PC材,
σa=15 MPa
Fig.3 ストライエーション,PC材,σa=15 MPa Fig.4 切り欠き底から成長した疲労き裂,AS材,
σa=15MPa
Fig.5 繊維近傍の不連続成長帯,AS材,σa=15MPa Fig.6 クレイズが連結してき裂が成長,AS材,
σa=15 MPa
材料の強度と破壊トップページ>複合材料のき裂成長