材料の強度と破壊>漁網取り付け金具の破壊調査結果

     漁網取り付け金具の破壊調査結果について
 
              八戸工業大学 小山 信次
1.はじめに
 
 Fig.1に示す、直径25mmの底引き網付け金具が操業中に破損し、漁網が流される事故が発生した。接続金具は、釣り具のより戻しのように、回転できるようになっている。
 今回の漁網取り付け金具の破損事故が生じた特徴的な環境は次のようなことであると思われる。    
  (1).使用環境は海水中の腐食環境である。
  (2).比較的低温環境で使用された。
  (3).破損部は変動する引っ張り荷重を受けた。
 
 このような使用環境から延性破壊,ぜい性破壊,応力腐食割れ(SCC),疲労破壊,腐食疲労による破壊がまず想定される。

Fig.1 直径25mmの底引き網付け金具
2.破面の巨視的様相
 
 Fig.2は破断部品の写真である。A部はネジによってB部に固定され更にA部はB部の端で溶接によって固定されている。荷重は矢印の方向に引張荷重が作用したと思われる。写真から破壊はB部の不完全ネジ部から生じていることがわかる。
 Fig.3は部品Bの破面の拡大写真である。不完全ネジ底からある深さで広がっている比較的平滑で径方向にすじ模様が存在する領域(疲労破面部,ぜい性破面部T)と巨視的には凹凸の多い領域(ぜい性破面部U)に区分することができる。この写真からき裂の発生は不完全ネジ部のネジ底ないしこの部分に発生した孔食から疲労き裂が発生したと思われる。
Fig.2 漁網取り付け金具の破断写真 Fig.3  部品Bの破面の拡大写真
 また,破断部分は赤錆がひどかったので3%塩酸アルコール溶液によって酸洗した。実体顕微鏡による観察の結果,ぜい性破面部Tの中央領域に比較的黒い層が同心円状に存在していた。Fig.4の電子顕微鏡写真に示すように、これは,析出物の層,あるいは空孔が密集した層であった。また,これらの領域の反対側のネジ底には疲労破面が観察された。破面のすぐ隣とそのまた隣のネジ底の組織を光学顕微鏡で観察した結果、ネジ底と山部にはかなり多くの孔食が存在していた。また,他の隣接するネジ底にはかなり深いき裂も存在していた。
 
3.破面の微視的観察
 
 破面を走査型電子顕微鏡にて観察を行った。
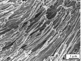
 Fig.4はき裂発生近傍の破面写真である。この写真においてもかなりの析出物と欠陥部が認められる。欠陥ぶはディンプルに似た形状から,これは析出物が変形のために抜けた痕跡と思われる。また,観察の結果、き裂は必ずしも不完全ネジ底から発生していないこがわかった。腐食孔,欠陥部の存在がかなりき裂発生に影響していると思われる。Fig.5の破面にはストライエーションが観察され,疲労によってき裂が進展したことがわかる。この面は腐食の影響を受けているが,酸洗いによっても腐食を受るので破壊時のものか破壊後のものかはっきり断言できない。また、欠陥部がかなり表面近くに存在していることがわかる。 
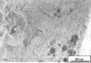
 Fig.6は比較的平滑な部分の写真でFig.5より内部のものである。この領域のほぼ中央に同心円状に欠陥部が密集していた。これは介在物が変形と破壊によって抜けた跡と思われる。写真では疑へき開面を呈しており,微視的き裂が観察され,また,デンプル状のリパターンも見られる。
 
3.まとめ
 
 これらのことから破壊様式は次のように考えられる。
 繰り返し、底引き網を引き上げる時、繰り返しの荷重が金具に作用し、析出物の欠陥部、ねじ底あるいは腐食孔から疲労き裂が発生し、疲労き裂が成長するにつれて,析出物が存在する領域は疲労き裂先端応力集中域に入り,介在物析出部は局部的に塑性変形し,介在物と母材は剥離し,空孔になる。疲労き裂の応力集中と空孔の応力集中の相互干渉によって空孔と空孔どうしの結合が進みき裂は大きくなる。このき裂と疲労き裂がある大きさで合体し,一つになり、ある大きさに達したとき脆性破壊が生じたと考えられる。疲労き裂の発生は、ねじ部の応力集中、海水による腐食孔により影響されたことは勿論であるが、通常の材料と比較し、析出物の層が存在し、材料が劣悪であったことが主たる破損原因と考えられる。
(a)ストライエーション (b)ストライエーションの拡大写真
Fig.4 き裂発生近傍の写真 Fig.5 疲労破壊に見られるストライエーション
Fig.6 脆性破面のリバーパターン
 

 
Fig.3 補足説明

材料の強度と破壊>漁網取り付け金具の破壊調査結果